10年経っても1本も歯を失っていない
―
ドイツ式入れ歯・リーゲルテレスコープ治療の実例

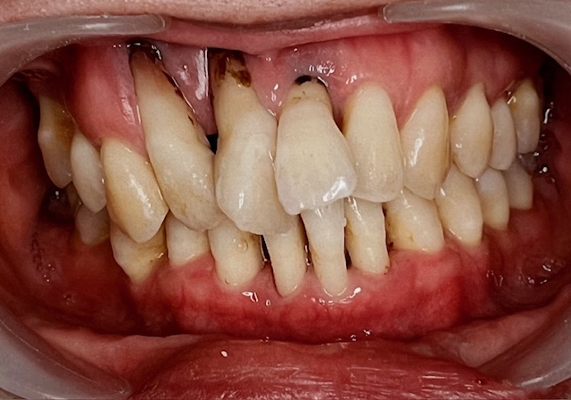
ご相談時の患者様の状態
患者様は2016年にご相談にいらした30代女性です。
「前歯が腫れていて、食事をするとぐらぐらする」と大変不安なご様子でした。
「すべて抜く」と言われた過去と10年間の不安
患者様は、約10年前に歯科医院で「すべての歯を抜く必要がある」と言われた経験があり、それ以来、歯科治療に強い恐怖を感じるようになってしまったそうです。
その後、10年間悩み続け、ようやく勇気を出して当院へご相談に来てくださいました。
残せる歯を守るための治療計画
お口の中を拝見すると、全体的に歯周病が進行しており、残念ながら上の前歯は保存が難しい状態でした。

一方で、下の歯はできる限り現在の状態を維持できる可能性があると判断しました。
まずは歯周病の治療をしっかり行い、
• 下の歯は「守る治療」
• 上の歯は「残っている奥歯を最大限活かす治療」
という方針で進めることにしました。
ドイツ式入れ歯「リーゲルテレスコープ」という選択
上顎は、残っている奥歯を利用した**ドイツ式入れ歯「リーゲルテレスコープ」**で治療を行いました。
今から9年前、当時はすべてゴールドを用いた治療でした。
金属の重みが歯に過度な負担をかけないよう、できる限り軽く仕上げることを意識して設計しています。
歯と粘膜、両方で支える設計
歯だけに負担が集中しないよう、
• 上顎には金属床
• シュパルテ(補強構造)を付与することで、歯と粘膜の両方で支える入れ歯を作製しました。
9年後のメンテナンスでわかったこと
もうすぐ装着から10年になりますが、先日、患者様がメンテナンスにいらしてくださいました。


驚いたことに、
• 9年前とほとんど状態は変わらず
• 歯を1本も失うことなく使用
• お手入れも非常に良好
という素晴らしい状態を保っていらっしゃいました。

下の歯も心配していましたが、噛み合わせが整ったことで、歯周病も安定し、歯を失うことはありませんでした。

装着後、もうすぐ10年を迎えますが、何も心配せずに食事や会話を楽しむ事ができているとのことです。
患者様のお言葉
患者様は、
「あの時、勇気は必要だったけれど、治療して本当によかった」
とおっしゃってくださいました。
もしあの時、全体的な治療を行っていなければ、次々と歯を失っていた可能性もあります。
これから治療を考えている方へ
歯を失う不安、入れ歯への抵抗、歯科治療への恐怖。
同じようなお気持ちを抱えている方は、決して少なくありません。
適切な診断と治療を行うことで、
長期的に歯を守り、快適に使い続けることは可能です。
これから先も、この入れ歯を長く大切に使っていただけるよう、しっかりサポートしていきたいと思います。
治療内容
上あごリーゲルテレスコープ(ドイツ式入れ歯)
※抜歯、仮歯製作など含む
治療期間・回数
1年・15回
費用
上あごリーゲルテレスコープ ¥2,500,000(税別)
(自由診療)
※2016年当時の費用となっているため、現在とは異なります。
リスク・副作用
年月の経過により骨が吸収する場合もあります。
清掃を怠ると、虫歯や歯周病になる可能性があります。
関連する記事
入れ歯カウンセリングの
流れ・ご案内
実際に先生と会って話を聞きたい。
自分にはどのような方法が合っているのか、治療方法や 期間、費用について具体的なお話を聞きたいという方には、入れ歯カウンセリングをお勧めしております。
入れ歯のお悩みを動画で解決
YouTubeチャンネル「入れ歯のお悩み解決!稲葉歯科医院」では、実際に入れ歯を使っていただいている患者さまの感想や、入れ歯の構造や仕組みについてもわかりやすく動画で解説しております。
こちらのページで動画をカテゴリ別に掲載しておりますので、お探しの内容をぜひご覧ください。





















