入れ歯の治療例
患者様のお悩みに応じた当院の入れ歯治療の症例を多数掲載しております。
治療前後の経過など、具体的な治療内容をご紹介しておりますので、入れ歯治療をご検討の際の参考としてぜひご覧ください。
-
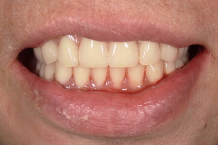
笑った時に上の歯が見えない~ドイツ式入れ歯で治した症例~
【CASE21】40代男性の症例 
-
50代女性。奥歯が4本なくても入れ歯はできるのでしょうか?
【CASE29】50代女性の症例 
-
差し歯から入れ歯へ〜受け口の方の入れ歯治療〜(40代女性)
【CASE31】40代女性の症例 
-
上あご奥歯がない方へ~インプラント以外の治療法について~
【CASE19】50代女性の症例 
テレスコープ
義歯について
当院では、ドイツで生まれた精密な入れ歯治療 テレスコープ義歯を採用しております。見た目の自然さや噛み心地、長く使える設計など、様々な理由から選ばれている治療法です。テレスコープ義歯の仕組みや特徴については、下記ページで詳しくご紹介しております。
※写真は、当院の稲葉繁先生が客員教授をしていたドイツ・チュービンゲン大学周辺の街並みです
稲葉歯科の充実した
ドイツ式入れ歯 テレスコープ義歯治療体制
当院では高度な治療技術を提供するために万全の体制を整えております。
入れ歯治療を専門にしたスタッフが対応いたしますのでご安心ください。治療は、院長の父である稲葉繁先生の治療技術を継承しております。
また医院とともに、稲葉歯科医院専用の歯科技工所にも高度な治療に対応できる設備を揃えております。
-
SYSTEM1あなた専属のパートナー制度だから安心歯科医師、歯科衛生士、歯科技工士がお一人の患者様の専属パートナーとなり、歯をお守りします。
-
SYSTEM2すべての患者さまに歯科技工士が立ち会いますすべての患者さまの治療時に、歯科技工士による立ち会いをし、ご要望を直接お聞きします。
-
SYSTEM3入れ歯治療に特化した院内、国内有数の歯科技工所の設備安心して治療を受けていただける院内、そして当院と完全連携した歯科技工所を完備しております。
-
SYSTEM4元日本歯科大学教授 稲葉繁先生による直接指導を受けております院長の父である稲葉繁先生の入れ歯治療技術を継承し、当院顧問として直接指導も受けております。
歯科医師のご紹介
稲葉歯科医院では、入れ歯先進国ドイツの技術を活かし、つけていることを忘れるくらい、笑顔に自信が持てる入れ歯を作っております。
当院では、担当医師による治療、歯科衛生士によるメンテナンスの他に、歯科技工士による修理まで今後長く使っていただくための体制を整えております。患者様の笑顔のためにスタッフ一同末長くサポートをさせて頂きたいと思います。
入れ歯を
お考えの方へ
たくさんの情報が飛び交う中、自分に合った入れ歯を選ぶことは、なかなか難しいのではないでしょうか。入れ歯であることは、できれば他人に知られたくないため、知り合いに相談したり、口コミを探すことや、紹介してもらうことも難しい分野だと思います。
稲葉歯科医院では入れ歯に関するさまざまな情報をご紹介しておりますので、みなさまにお力添えができれば幸いです。
総入れ歯をご検討の方は
、当院の総入れ歯専門サイトもご覧ください。
入れ歯のお悩みを
動画で解決
YouTubeチャンネル「入れ歯のお悩み解決!稲葉歯科医院」では、 実際に使っていただいている患者さまの感想や、入れ歯の構造や仕組みについてもわかりやすく動画で解説したいと思っております。
入れ歯ブログ・Q&A
当院では入れ歯治療のお悩みを多数お聞きしております。
今までに患者様からいただいたご質問などをもとにブログを更新しております。
治療のご参考になればと思いますので、よろしければご覧ください。
お知らせ
- NEW
- 2026.03.10
- 総入れ歯の仮歯(即時義歯)とは?抜歯後すぐに入れた72歳女性の体験①
- 2026.01.29
- 「全部治療した歯なのに噛めない」何度も治療してきたからこそ、丁寧に向き合った1年半
- 2026.01.15
- 40代からの総入れ歯治療〜仮歯の2年間が教えてくれた、本当に大切なこと〜
- 2026.01.05
- 「インプラントを活かす入れ歯治療|リーゲルテレスコープで“噛める喜び”を取り戻した症例」
入れ歯カウンセリングのご案内

入れ歯でお悩みの方、またインプラントと迷っている方、
お一人で悩まず、まずはカウンセリングにいらっしゃいませんか?
患者様の状態に合わせてご相談をさせていただきます。
当院では、ドイツ式入れ歯 テレスコープ義歯を専門としており、若い方を中心に幅広く治療をさせていただいております。
歯の悩みが消え、笑顔で過ごすことができれば、人生の楽しみが何倍も増え、人とのコミュニケーションもスムーズになるでしょう。
メール、LINEでの入れ歯無料相談も承っておりますので、
どうぞお気軽にご連絡ください。
| 診療時間 | 月 | 火 | 水 | 木 | 金 | 土 | 日 | 祝 |
|---|---|---|---|---|---|---|---|---|
| 10:00~12:30 | ● | ● | ● | ● | ● | / | / | / |
| 14:00~17:00 | ● | ● | ● | ● | ● | / | / | / |



































