前歯がすぐ取れる・奥歯で噛めない40代女性のレジリエンツテレスコープ治療例
40代女性からのご相談内容
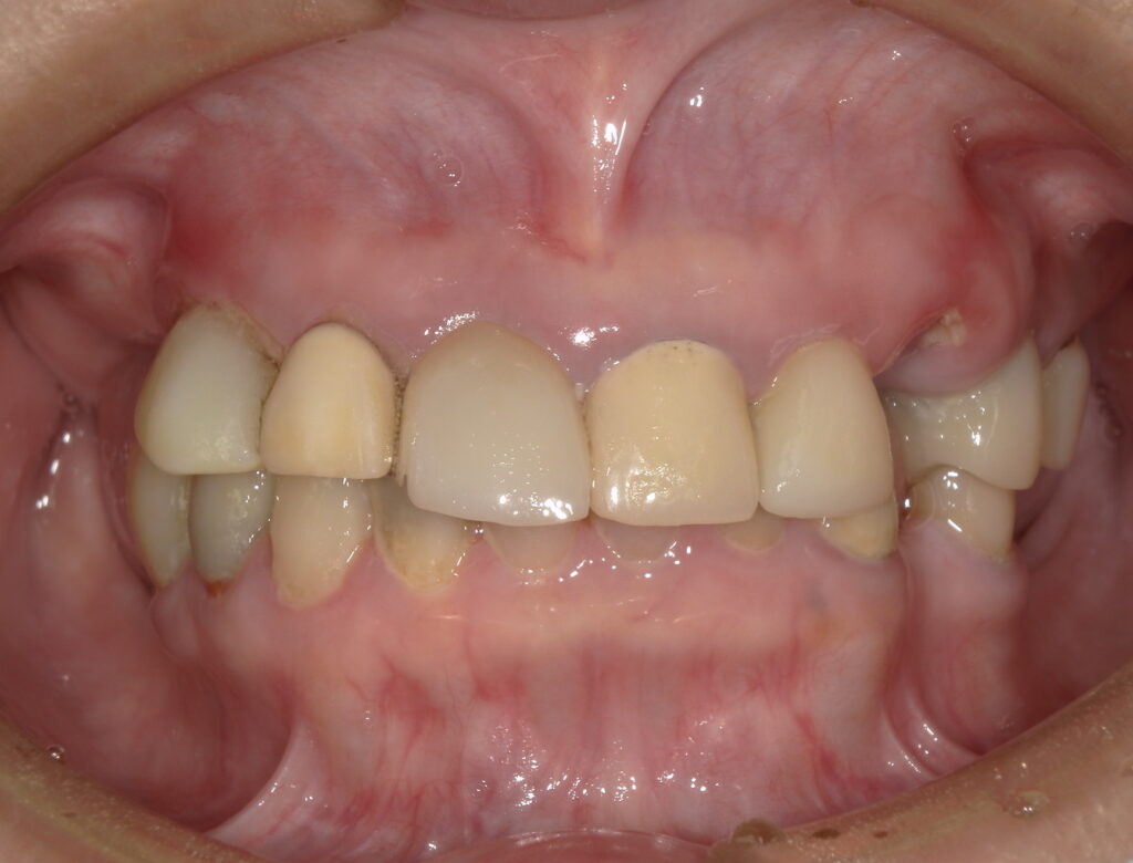
患者様は40代の女性です。
「前歯の差し歯がすぐに取れてしまう」
「奥歯で噛むことができない」
「人前で笑うことに抵抗がある」
といったお悩みを抱え、ご相談にいらっしゃいました。

前歯が安定しない、噛めない状態が続くと、食事だけでなく会話や表情にも大きな影響が出てしまいます。
お口の中の状態と残せた歯
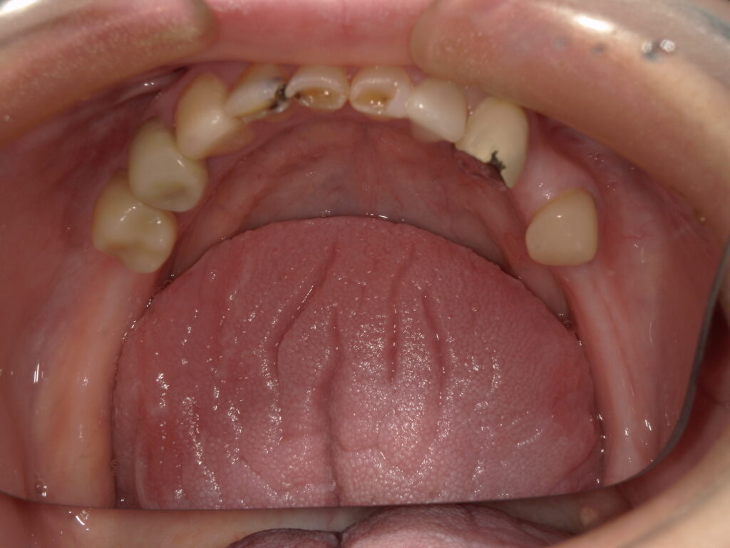
診査の結果、上顎は4本の歯を保存することが可能でした。

下顎は前歯9本を残すことができましたが、神経のない歯が多く、負担を分散する治療が必要な状態でした。

治療方法としてレジリエンツテレスコープを選択した理由
残せる歯を最大限に活かし、歯に無理な負担をかけない治療方法として上下共にレジリエンツテレスコープ義歯をご提案しました。


上顎は4本の歯を利用したレジリエンツテレスコープ。


下顎も同様に、神経のない歯が多いため、レジリエンツテレスコープで治療を行うことになりました。
仮の入れ歯で慣れる期間を設けました
いきなり完成した入れ歯を装着するのではなく、
まずは**仮の入れ歯(仮義歯)**を作製し、
お口の中や日常生活に慣れていただく期間を設けました。
仮義歯装着後の経過と患者様の変化
仮の入れ歯装着後、4日後の来院時に
「主人に、頬の感じが自然になったね、と言われました」
とお話しくださいました。
一方で、
・まだ食事がしづらい
・下の入れ歯が当たって痛い
・上顎は抜歯した部分が擦れて痛い
などの症状もあり、細かく調整を行いました。
その後、
「何もしていない時は気にならなくなった」
「自然にしゃべれるようになってきた」
と、少しずつ変化を実感していただけるようになりました。
抜歯後6か月、いよいよ本番の型取りへ
抜歯を行った部分の歯ぐきが十分に治癒するまで、約6か月の期間を設け、その後、本番の入れ歯の型取りを行いました。
完成直前にご家族と一緒に口元を確認そして完成
完成の一歩手前で、ご主人様にも立ち会っていただき、口元の雰囲気や表情を一緒に確認しました。

治療後の経過と現在のメンテナンス
完成後は、口元をとても気に入っていただき、ご主人様にも喜んでいただきました。

現在、完成から1年を迎え、3か月ごとの定期メンテナンスに通院されております。
治療内容
上下顎共に、レジリエンツテレスコープ
※抜歯、仮歯製作など含む
治療期間・回数
1年・15回
費用
上下顎レジリエンツテレスコープ ¥4,000,000(税別)
(自由診療)
リスク・副作用
年月の経過により骨が吸収する場合もあります。
清掃を怠ると虫歯になる可能性があります。
関連する記事
入れ歯カウンセリングの
流れ・ご案内
実際に先生と会って話を聞きたい。
自分にはどのような方法が合っているのか、治療方法や 期間、費用について具体的なお話を聞きたいという方には、入れ歯カウンセリングをお勧めしております。
入れ歯のお悩みを動画で解決
YouTubeチャンネル「入れ歯のお悩み解決!稲葉歯科医院」では、実際に入れ歯を使っていただいている患者さまの感想や、入れ歯の構造や仕組みについてもわかりやすく動画で解説しております。
こちらのページで動画をカテゴリ別に掲載しておりますので、お探しの内容をぜひご覧ください。






















