下の歯がない方の治療例~ジルコニアセラミックとドイツ式入れ歯(テレスコープ義歯)の実例紹介~
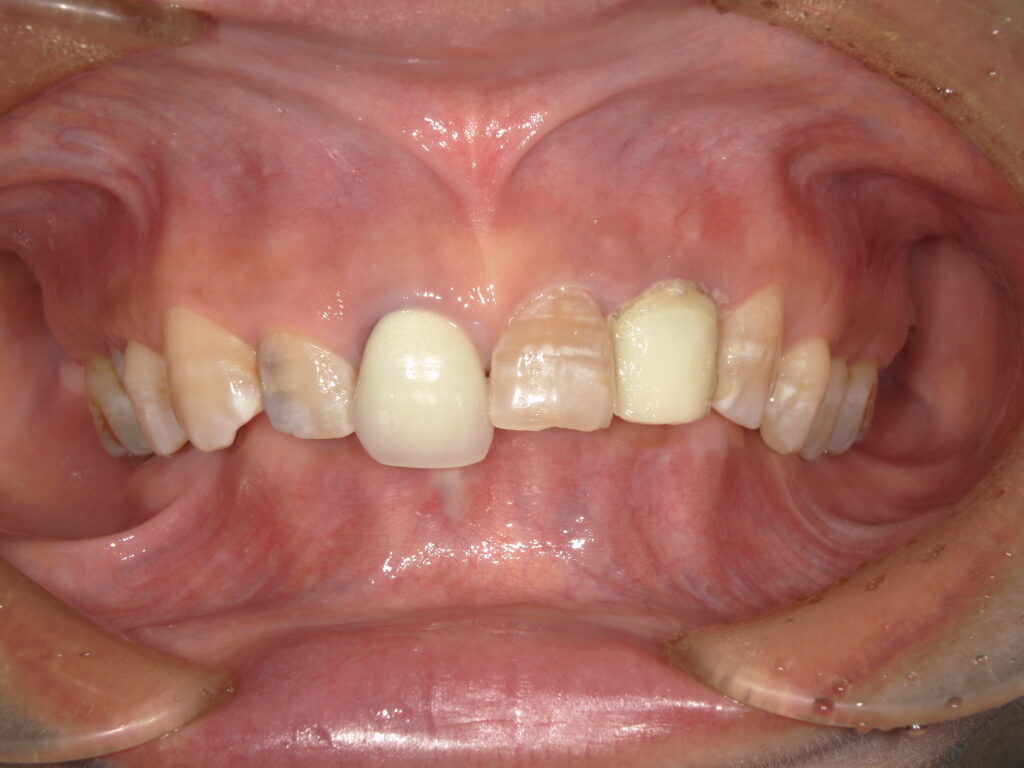
【治療前の情報】30年ぶりの歯科受診。強い不安を抱えて来院された患者さま
今回ご紹介するのは、約30年ぶりに歯科医院へ来院された40代女性の患者さまです。
長い間歯科から遠ざかってしまったことで、
「もしかしたら総入れ歯になるのでは…」

上の歯は13本、下の歯は6本利用する事ができ、精密検査の結果、上あご・下あご、ともに残せる歯を最大限に活用した治療が可能であることが分かり、安心して治療を進めていただくことができました。
治療プランの概要
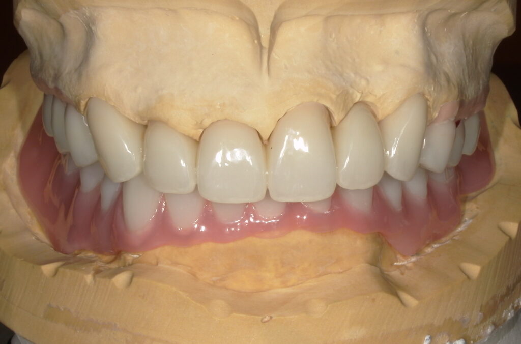
上顎:13本を土台にしたジルコニアセラミック治療
上の歯には、
• 虫歯
• 根管治療の再治療が必要な歯
が複数ありましたが、すべて土台として利用できる状態に回復。その上で、強度・審美性に優れたジルコニアセラミックを用いることになりました。
★治療中も安心できる仮歯を製作
初期段階で仮歯(プロビジョナル)を作ることで、噛める・話せる・見た目が整う状態を確保。
患者さまも「治療中も人前に出るのが気にならない」と、とても安心されたご様子でした。
途中、仮の歯が壊れてしまい、歯が動いてしまう。などのハプニングがありましたが、歯科技工士の細やかなテクニックで修復。
何度も仮合わせを行い、審美面、機能面のチェックを行いました。
下顎:前歯6本を活かしたドイツ式入れ歯(テレスコープ義歯)
下の歯は奥歯がすべて失われており、一般的な部分入れ歯では安定が難しいケースでした。
そこで当院では、前歯6本を利用するドイツ式入れ歯、コーヌスクローネをご提案。
ドイツ式入れ歯の特徴
- ブリッジと同じような装着感を得られます。
- 取り外しができるため、クリーニングが行いやすい。
- 入れ歯によって、歯がしっかりと固定されるため、歯周病の患者様にも有効です。
- 修理が比較的簡単です
- 長期間使用することができます
- 夜もはめたままお休みいただくことができます。

治療の経過|安心して進められるステップ
① 仮歯で生活の質を確保
噛める状態を早期に回復し、治療中のストレスを最小限に。
② 根管治療の再治療で歯を保存
上顎の数本は再治療が必要でしたが、精密な処置によりすべて保存できました。
③ テレスコープ義歯の試適でフィット感を確認
高精度なドイツ式の義歯は、試適段階からしっかりフィット。
患者様も「違和感が少なくて驚いた」と安心されていました。
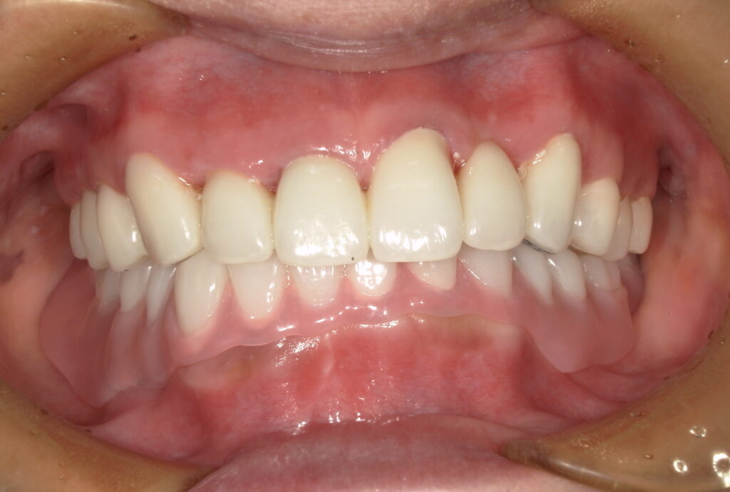
治療後の変化|上品で美しく、しっかり噛める口元へ
完成した歯は、自然で上品な笑顔を作るジルコニアセラミック


下顎は安定してしっかり噛めるドイツ式入れ歯が組み合わさり、見た目も機能も大きく改善しました。

奥歯でしっかり噛めるようになったことで、表情が明るくなり、笑顔にも自信が生まれたご様子でした。
患者様からは、
「奥歯で噛むことができ、食事も気にせずに食べる事ができます。」
という嬉しいお声もいただきました。
まとめ|“総入れ歯になるしかない”と思っている方へ
今回の患者様のように、長期間歯科から遠ざかってしまったからといって、必ずしも総入れ歯になるわけではありません。
残せる歯を生かし、
• ジルコニアセラミック
• ドイツ式入れ歯コーヌスクローネ
などを用いることで、
美しく、しっかり噛める口元を再建することができます。
不安で一歩踏み出せない方こそ、ぜひ一度ご相談ください。
治療内容
上あごジルコニアセラミック
下あごドイツ式入れ歯コーヌスクローネ
※抜歯、仮歯製作など含む
治療期間・回数
1年・10回
費用
上あごジルコニアセラミック ¥1,950,000(税別)
下あごドイツ式入れ歯 ¥2,800,000(税別)
(自由診療)
リスク・副作用
年月の経過により骨が吸収する場合もあります。
関連する記事
入れ歯カウンセリングの
流れ・ご案内
実際に先生と会って話を聞きたい。
自分にはどのような方法が合っているのか、治療方法や 期間、費用について具体的なお話を聞きたいという方には、入れ歯カウンセリングをお勧めしております。
入れ歯のお悩みを動画で解決
YouTubeチャンネル「入れ歯のお悩み解決!稲葉歯科医院」では、実際に入れ歯を使っていただいている患者さまの感想や、入れ歯の構造や仕組みについてもわかりやすく動画で解説しております。
こちらのページで動画をカテゴリ別に掲載しておりますので、お探しの内容をぜひご覧ください。





















