奥歯がなくても噛める選択肢があります~前歯6本で支えるドイツ式入れ歯治療~
歯医者が怖くて、長い間通えなかった患者様
患者様は40代の女性です。
小さい頃から歯科医院に通う機会が少なく、中学卒業後に久しぶりに歯医者を受診した際、「状態がひどい」と言われてしまったそうです。
その経験がきっかけで、歯科医院からさらに足が遠のいてしまい、気がついた時には歯の状態がどんどん悪化してしまっていました。
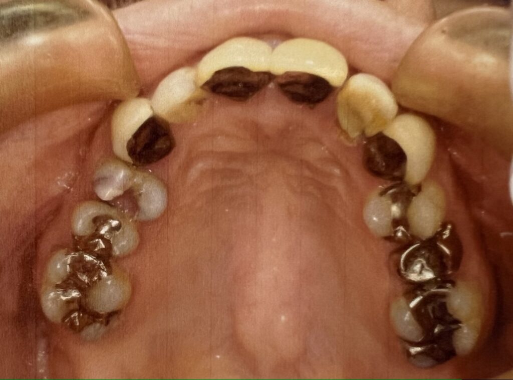
ご相談時のお口の中の状態
2023年に、勇気を出して当院へご相談にいらっしゃいました。

お口の中は虫歯が多く、特に上の歯はまず虫歯治療から一つひとつ丁寧に進めていく必要がありました。

下の歯は奥歯がすでになく、前歯6本以外は残しておく事ができませんでした。

噛み合わせも低下しており、食事をほとんど噛めない状態でした。
不安を減らすために、治療のゴールを明確に
もともと歯医者が苦手な患者様にとって、通院は決して楽なものではなかったと思います。
そこで私たちは、**「どこをゴールにするのか」「最終的にどんな口元・噛み合わせを目指すのか」**を丁寧にお伝えしました。
細かい虫歯治療、神経の治療、抜歯など、治療には2年の歳月がかかりましたが、治療の見通しがはっきりしたことで、患者様も安心して、前向きに通院してくださいました。
上の歯:白い歯で自然な口元へ
上の歯は、虫歯治療を行ったうえで、白い歯で前装し、全体的にブリッジ治療を行いました。

治療後は、自然で明るい口元になり、表情も大きく変わりました。
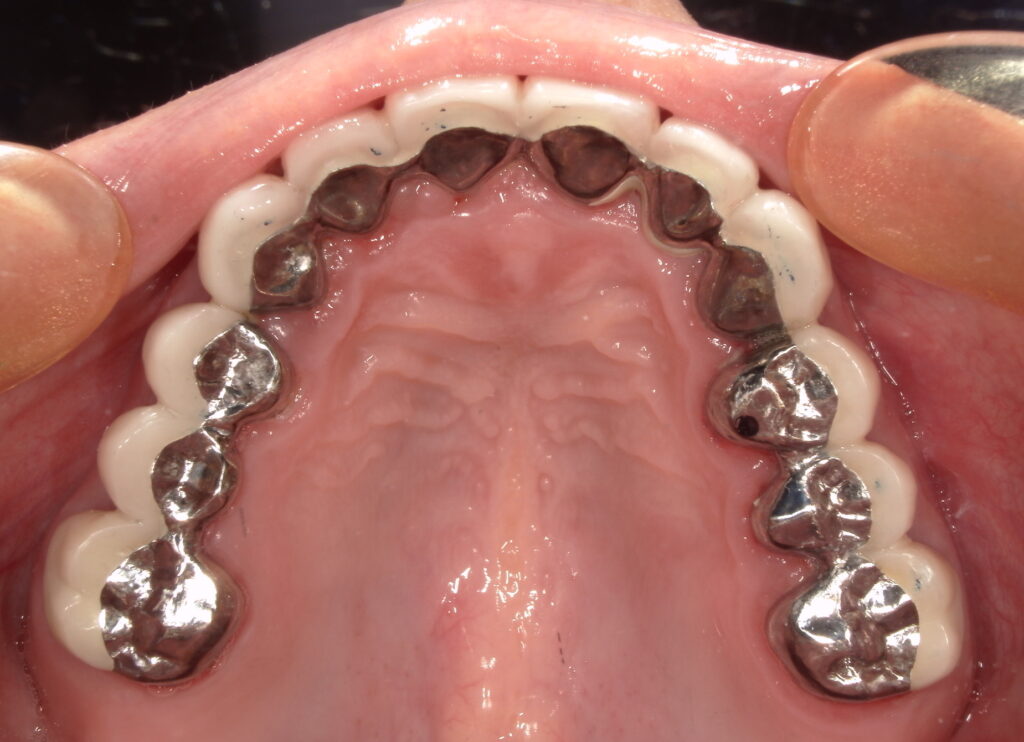
下の歯:前歯6本で支えるレジリエンステレスコープ
下の歯は、前歯6本を利用したレジリエンステレスコープで治療を行いました。

これは、取り外しができるブリッジのような構造を持つ、ドイツ式の入れ歯治療です。
入れ歯を支えている6本の歯、内冠を被せ、その上から入れ歯部分の外冠を被せます。

前歯だけで支えながらも、しっかりと噛める設計になっており、奥歯がない方にも対応できる治療方法です。

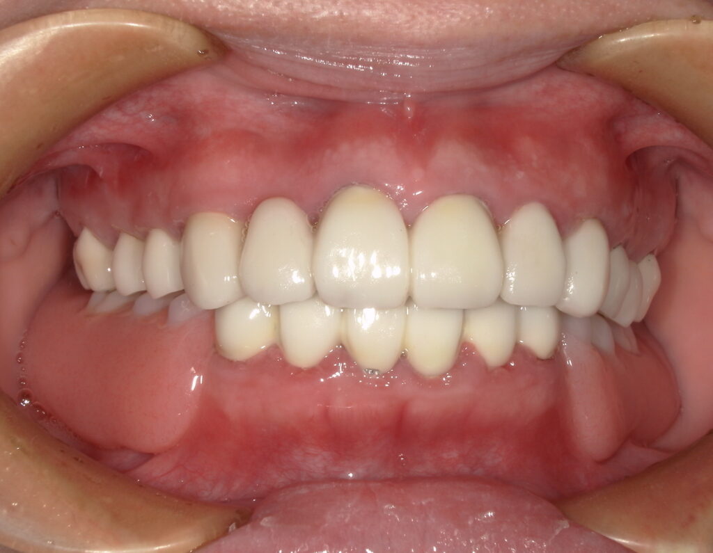
装着直後のお口の中の写真です。
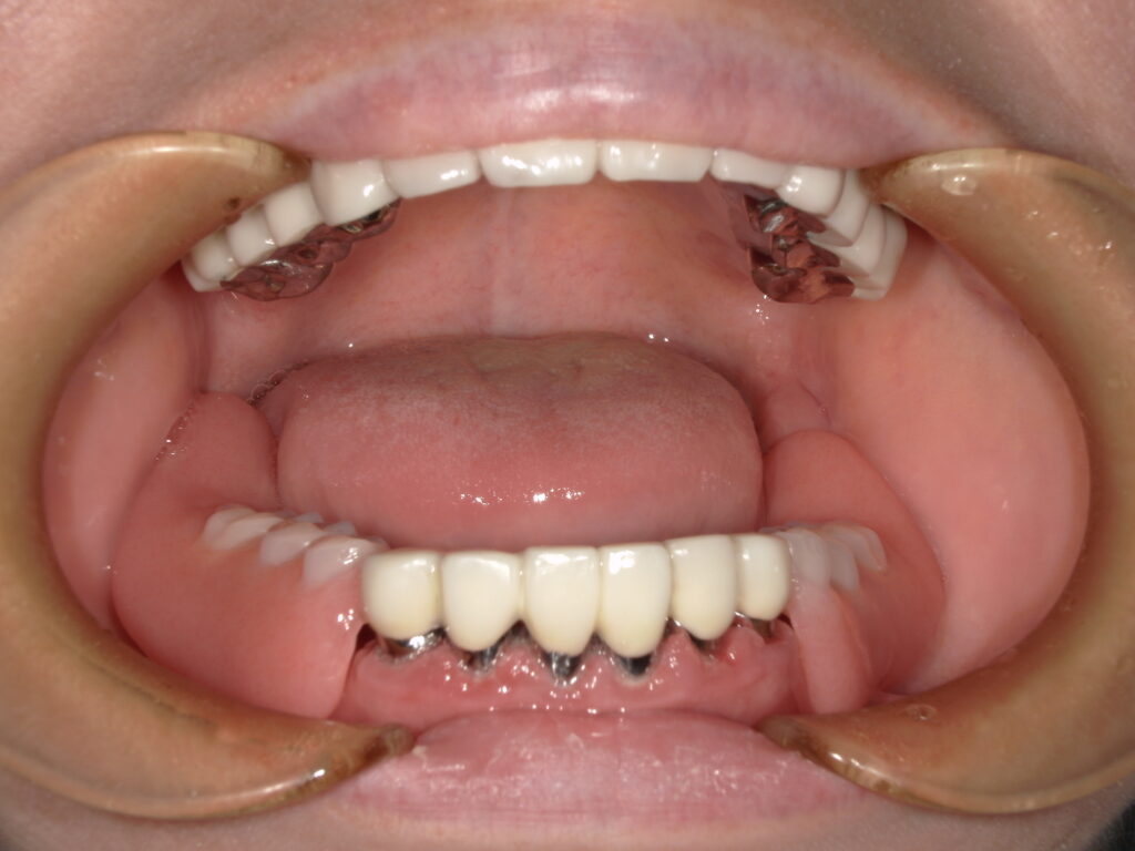
「噛める」「笑える」― 治療後の患者様のご様子
治療が終わり、鏡をご覧になった患者様は、
「ずっと歯医者が嫌いだったけれど、ここまで頑張って通えたのは、ゴールがはっきりしていて不安がなかったからです」
とお話しくださいました。

入れ歯であることは見た目にはわかりません。

きれいになった口元を見て、涙ぐんでいらっしゃる姿がとても印象的でした。
※症例は患者様のご理解・ご承諾のもと掲載しております。
奥歯がなく、噛むことを諦めている方へ
奥歯がなく、「もう噛めない」と諦めてしまっている方は少なくありません。
しかし、前歯を活かしながら噛める方法はあります。
レジリエンステレスコープは、
✔ 噛める機能
✔ 見た目の自然さ
✔ 将来を見据えた設計
を大切にした治療法です。
同じようなお悩みをお持ちの方は、ぜひ一度ご相談ください。
治療内容
上あご硬質レジン前装冠、全て連結。
下あごレジリエンツテレスコープ
※仮歯製作など含む
治療期間・回数
2年・30回
費用
上あご硬質レジン前装冠¥1,200,000(税別)
下あごレジリエンツテレスコープ ¥2,000,000(税別)
(自由診療)
リスク・副作用
年月の経過により骨が吸収する場合もあります。
清掃を怠ると虫歯や歯周病になる可能性があります。
関連する記事
入れ歯カウンセリングの
流れ・ご案内
実際に先生と会って話を聞きたい。
自分にはどのような方法が合っているのか、治療方法や 期間、費用について具体的なお話を聞きたいという方には、入れ歯カウンセリングをお勧めしております。
入れ歯のお悩みを動画で解決
YouTubeチャンネル「入れ歯のお悩み解決!稲葉歯科医院」では、実際に入れ歯を使っていただいている患者さまの感想や、入れ歯の構造や仕組みについてもわかりやすく動画で解説しております。
こちらのページで動画をカテゴリ別に掲載しておりますので、お探しの内容をぜひご覧ください。





















