英語スピーチ大会に間に合わせたい〜発音と美しさを取り戻したドイツ式テレスコープ義歯の12年後〜
ご相談内容|「英語の発音ができる歯にしたい」
患者様は50代の女性。2013年に当院へご来院されました。
来院のきっかけは、英語のスピーチ大会でした。
「それまでに歯をきちんと治して、発音ができるようになりたい」
「見た目にも自信を持って人前に立ちたい」
という強いご希望をお持ちでした。
スピーチ大会には外国の方も多く参加されるため、発音の明瞭さと口元の美しさの両立が重要なポイントでした。
来院時の状態|部分入れ歯が痛くて使えない
当時、上下ともに部分入れ歯をお使いでしたが、
• 歯ぐきが腫れている
• 痛みが強く、入れ歯を入れられない
• 会話や発音がしづらい
という状態でした。
「入れ歯は痛いもの」「我慢しながら使うもの」
そんな不安を強く感じていらっしゃいました。
治療方針|ドイツ式テレスコープ義歯による治療
患者様のご希望とお口の状態を丁寧に検討した結果、ドイツ式入れ歯テレスコープ義歯による治療をご提案しました。
上顎:レジリエンツテレスコープ
上顎では、残っている2本の歯を活かし、レジリエンツテレスコープを採用しました。
この方法は、歯と歯ぐきの両方で力を支える構造のため、
• 歯への負担を減らす
• 長期的に使いやすい
• 将来の変化にも対応しやすい
という特徴があります。
下顎:リーゲルテレスコープ
下顎は、7本の歯を利用し、ドイツ式入れ歯リーゲルテレスコープで治療を行いました。
リーゲルテレスコープは、
• 鍵をかけると、入れ歯がしっかり固定される
• 会話中に動かない
• 発音が安定しやすい
という点で、スピーチを控えた患者様にとって非常に適した治療法です。
治療後の変化|発音も見た目も自信に
治療後、患者様は
「歯がとてもきれいになった」
「発音も問題なくできる」
と大変喜んでくださいました。
実際にスピーチ大会に参加された際には、
外国の方は皆さんとてもきれいな口元をしていましたが、自分も負けずにきれいな歯で話すことができました。
と、嬉しいご報告をいただきました。
人前で話す自信を取り戻せたことが、治療の大きな成果だったと感じています。
治療から12年後の経過|作り替えず、使い続けられる入れ歯
現在、治療から12年が経過しています。

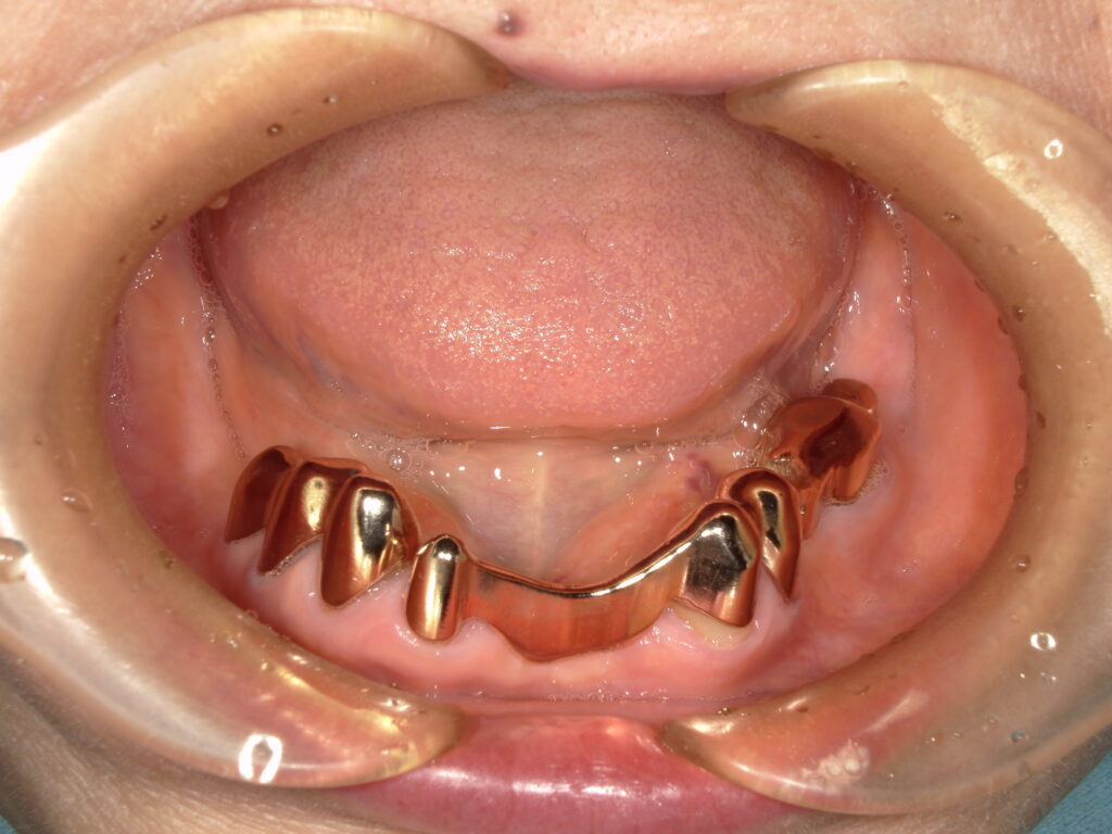
※口の中のご様子
上顎の経過

12年の間に上顎では歯を2本失いましたが、入れ歯を作り替えることなく修理を行い、現在は総入れ歯として継続使用されています。
下顎の経過

※下あごリーゲルテレスコープ、外冠

※リーゲルテレスコープ内冠
下顎は12年間、1本も歯を失うことなく、
当初のリーゲルテレスコープをそのままお使いいただいています。
ドイツ式入れ歯が長く使える理由
ドイツ式テレスコープ義歯の大きな特徴は、
• 残っている歯を守る設計
• 修理・調整・拡張が可能
• 年齢やお口の変化に対応できる
という点です。
「ダメになったら作り替える」のではなく、
育てながら長く使う入れ歯であることが、
12年という長期使用につながっています。
まとめ|人生の大切な場面を支える入れ歯治療

この症例は、
• 発音
• 見た目
• 長期的な安定性
すべてを大切にした治療例です。
入れ歯は、
「噛めればいい」「仕方なく使うもの」ではありません。
人生の大切な場面で、自信を持って笑い、話すための治療が可能です。
治療内容
上あごレジリエンツテレスコープ ドイツ式入れ歯
下あごリーゲルテレスコープ ドイツ式入れ歯
※抜歯、仮歯製作など含む
治療期間・回数
8ヶ月・15回
費用
上あご ¥1,050,000(税込)
下あご ¥2,565,000 (税込)
(自由診療)
2013年当時の治療費用となりますので、現在とは異なります。
リスク・副作用
年月の経過により骨が吸収する場合もあります。
清掃を怠ると、虫歯や歯周病になる可能性があります。
関連する記事
入れ歯カウンセリングの
流れ・ご案内
実際に先生と会って話を聞きたい。
自分にはどのような方法が合っているのか、治療方法や 期間、費用について具体的なお話を聞きたいという方には、入れ歯カウンセリングをお勧めしております。
入れ歯のお悩みを動画で解決
YouTubeチャンネル「入れ歯のお悩み解決!稲葉歯科医院」では、実際に入れ歯を使っていただいている患者さまの感想や、入れ歯の構造や仕組みについてもわかりやすく動画で解説しております。
こちらのページで動画をカテゴリ別に掲載しておりますので、お探しの内容をぜひご覧ください。





















