リーゲルテレスコープの歴史
こんにちは。稲葉由里子です。
当技工所顧問の稲葉繁先生が、ドイツから日本にリーゲルテレスコープを紹介してから30年以上たちます。
今回は、リーゲルテレスコープの歴史的誕生について、稲葉先生とのエピソード、症例などを交えてお伝えしていきたいと思います。
当時稲葉先生は、QDTという歯科技工雑誌の別冊として、『現在のテレスコープ・システム』という本を出版しました。

今、この本を読み直すと、素晴らしいことが沢山書かれています。
歴史を勉強することで得る知識は大きいです。
下記の内容は、私が父である稲葉繁先生にリーゲルテレスコープの歴史についてインタビューした内容をまとめたものです☆♪
稲葉繁先生にリーゲルテレスコープの歴史についてインタビュー
1978年、当時私(稲葉繁)がドイツに滞在した経験では、渡欧する前に持っていたドイツに関する知識と、実際生活してみて自分で経験したこととの差が大きいことに改めて気づきました。
歯科医療に関し、保険制度の整備がよく行われて、患者様優先、学問優先の考え方が実行され、日本ではとても健康保険ではできないような貴金属を使用したテレスコープ・システムが盛んにおこなわれていました。
テレスコープの種類も多く、適材適所に様々なタイプのテレスコープが用いられ、学生実習においても基礎課程の模型実習で教育され、実際の患者様においても日常茶飯事に用いられ、驚いた経験があります。
現在日本では、コーヌスクローネだけが知られていますが、ドイツにおいては各種のテレスコープが使用され、それぞれの特徴がいかされつつ広まっているのが現状です。
貴金属を使用したテレスコープ・システムがドイツで好んで行われる理由には、ドイツの製品はあらゆるものが丈夫で長持ちするようにできているということがあげられます。
1つの物をつくろうとしたとき、種々の方向から検討され、最善の方法がとられることがつねです。
テレスコープシステムは、その代表です。
古くはすでに1886年にR.W.Starrがブリッジの装置として、また1889年にPecsoによってテレスコープを使用したブリッジが考案されているので、現在までにテレスコープの歴史は130年以上ということになります。
その間、多くの先駆者たちによって、よりよい方法が追求され、研究開発が行われてきました。
現在のような精密なテレスコープ・システムの方法は、1929年にHäuplとReich-born-Kjenerudによって発表されています。
そして、その後長い間改良されてきて、さまざまな欠点を補う方法として、1968年にK.H.Körberが、フライブルグ大学に在籍していたときにKonuskrone(コーヌスクローネ)と名付け10年間の成果を発表しました。


ドイツにはもう一人、同名のKörber教授がいました。
Prof.E.Körberです。
E.Körber教授は、チュービンゲン大学の補綴学教室の主任教授でとして知られ、彼が、テレスコープ・クラウンの大家でありました。
私は彼のもとへ客員教授として招かれ、様々なことを体験する機会を得ました。
テレスコープ・システムは創立以来500年以上の歴史あるチュービンゲン大学独特の手法であったため、当時、私もドイツ国内に新しく開発した、テレスコープ・テクニックを紹介するため、バスを連ね、旅行鞄に一杯の義歯を入れて研修指導に行った思い出があります。
リーゲルテレスコープとの出逢い
ある時、医局旅行があり、南ドイツのあるお城へバスで行きました。


お城の城主がKörber教授の患者様だったからです。

そして、その時、お城の城主の口の中にリーゲルテレスコープを応用した、全顎の可撤性ブリッジが装着されてるということをはじめて聞きました。
なんと、それが20年間使われていると聞き、そのような素晴らしい方法はどのような方法なのだろう。
ぜひやってみたい!と思いました。
医局旅行から帰ってきて、早速Körber教授から城主のリーゲルテレスコープのスライドを見せてもらいました。




その製作方法は非常に複雑で、まったくわからないような構造でしたが、絶対自分のものにしたいと思い、ぜひ、やらせてほしいとKörber教授に頼みました。
リーゲルテレスコープの発案は、Dr.Strackと、技工マイスターのE.Shlaichによるものであったと、その後、Körber教授から聞きました。
それを改良して世に出したのがKörber教授ということです。
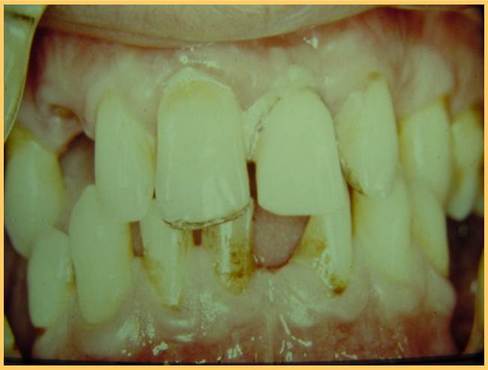
というわけで私は、ドイツではじめて実際の患者様を2例、全顎の症例を治療させていただきました。



噛み合わせの器械につけて、ワックスで形を作り、診断をしたり、仮の歯を作ります。

リーゲルのレバーがかかる部分です。

下のリーゲルテレスコープの途中経過。

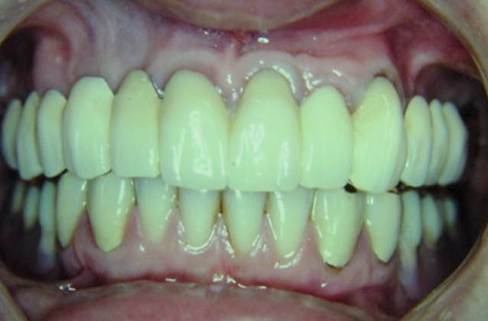
そして、完成です。
ドイツで、35年前、Körber教授の指導の下、初めてのリーゲルテレスコープ症例を 行った私の思い出の症例です。
その後、日本に紹介させていただき、30年以上経過しましたが、私は、当時Körber教授20年症例をいつのまにか超える結果をだすことができました。
あの時、ドイツへ渡欧していなかったら、今の私はなかったと思っています。
ということで、リーゲルテレスコープを日本に紹介した稲葉繁先生へのインタビューでした。
Weber dental labor では、稲葉先生が直接ドイツで学んできたリーゲルテレスコープの技術をご提供させていただいております。
20年以上絶えうる、設計を目指したいと思います。
リーゲルレバーの形、シングルロック、ダブルロックの設計、シュレーダーゲシーベの位置、回転軸の深さなど、大変細かいところではありますが、Körber教授から直接学んだ方法のままに現在も行われております。
私達の歯科技工の仕事も、患者様がテレスコープを装着されてからが長いお付き合いだと思っております。
患者様が長期に渡り口腔内で機能できるリーゲルテレスコープを製作させていただきたいと思います。
治療の進め方や、サポートの方法などもご相談させていただくことができますので、遠慮なくご連絡いただければと思います。










