「インプラントを活かす入れ歯治療|リーゲルテレスコープで“噛める喜び”を取り戻した症例」

ご相談のきっかけ
患者様は70代の女性。
1年前に入れ歯を作られたものの、「上顎の入れ歯がすぐに外れてしまう」とお悩みでした。
YouTubeで私の動画をご覧になり、「ここなら相談できそう」と思い、ご来院くださいました。
なぜ入れ歯が外れてしまったのか
お口の中を拝見すると、上顎には前歯が3本残っていましたが、**無口蓋義歯(上あごの口蓋を覆わないタイプ)**を使用されていました。

無口蓋義歯は違和感が少ない反面、
●接着面積が少なく
●空気が入りやすく
●外れやすい
という特徴があります。
そのため、日常生活でも安定せず、強い不安を感じていらっしゃいました。

下あごには、インプラントが数本入っておりましたが、臼歯の部分は骨が薄く、入れる事ができなかったという事でした。

特に、前歯の見え方が気になっていらっしゃいました。
旅行前に行った「仮の歯」での対応
患者様は「1か月半後にスペイン旅行が控えている」とのこと。
「美味しい食事を安心して食べたい」「外れないようにしたい」という強いご希望がありました。
そこでまず、仮の入れ歯を制作。
装着の練習期間も設け、無事にご旅行へ。
帰国後には
「食事もできて、とても安心できました」
と嬉しいご報告をいただきました。
本格治療の方針|上顎と下顎それぞれの選択
その後、本格的な型取りと治療を開始しました。
• 上顎:レジリエンツテレスコープ


• 下顎:既存のインプラントを活かしたリーゲルテレスコープ

上下で状態が異なるため、それぞれに最適な方法を選択しています。
治療期間と精密治療の理由
治療期間は約1年。
決して短くはありませんが、
精密さ・噛み合わせ・長期安定を大切に、丁寧に進めていきました。
治療後の変化と患者様の声
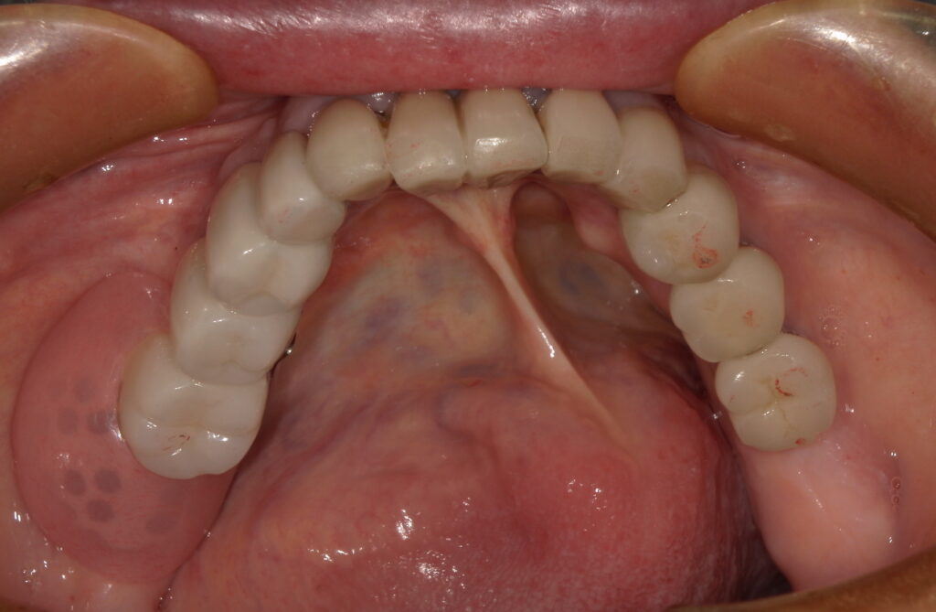
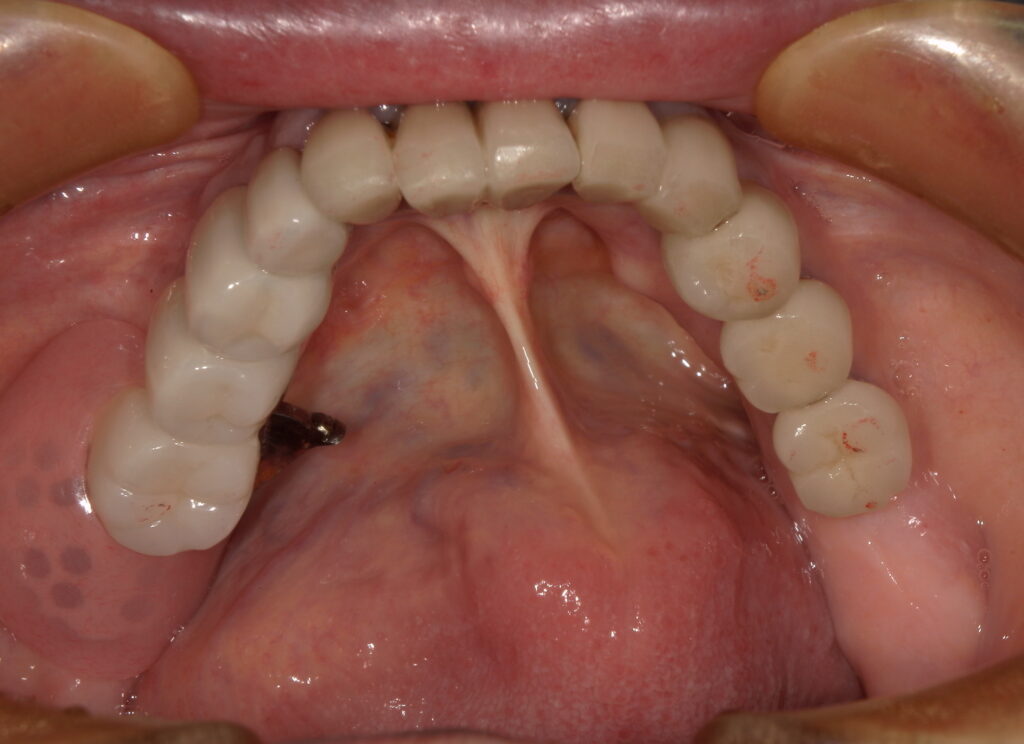
完成した上顎の入れ歯は、口蓋をしっかり覆う設計ですが、空気が入らず、安定感のある仕上がりに。


見た目も自然で、口元がとても綺麗になりました。
下顎は、これまで小臼歯までしか噛めなかった状態から、奥歯までしっかり噛めるように。
患者様からは
「奥歯で噛めるようになって、口元の筋肉が変わった気がします」
と喜びのお声をいただきました。
ドイツ式・インプラント×リーゲルテレスコープ
ドイツでは、インプラントを利用したリーゲルテレスコープは珍しい治療ではなく、「取り外しのできるブリッジ」として多く使われています。

※インプラントの土台2本

※インプラントの土台を利用して、リーゲルテレスコープを装着

※鍵を開く事で、取り外しをする事ができます。
リーゲルテレスコープ は、
✔ 取り外せる
✔ メンテナンスしやすい
✔ 修理しながら長く使える
これが大きなメリットです。
まとめ|外れない入れ歯のために
入れ歯が外れる原因は、
「年齢」や「慣れ」ではなく、設計と噛み合わせにあることがほとんどです。
治療の最後に患者様から
「こちらの歯科医院で治療できて本当によかった」
と言っていただけたことが、私にとって何より嬉しい瞬間でした。
治療内容
上あごレジリエンツテレスコープ ドイツ式入れ歯
下あご片側リーゲルテレスコープ ドイツ式入れ歯
※抜歯、仮歯製作など含む
治療期間・回数
1年・13回
費用
上あごレジリエンツテレスコープ ¥2,000,000(税別)
下あご片側リーゲルテレスコープ¥1,200,000(税別)
(自由診療)
リスク・副作用
年月の経過により骨が吸収する場合もあります。
清掃を怠ると虫歯や歯周病になるリスクがあります。
関連する記事
入れ歯カウンセリングの
流れ・ご案内
実際に先生と会って話を聞きたい。
自分にはどのような方法が合っているのか、治療方法や 期間、費用について具体的なお話を聞きたいという方には、入れ歯カウンセリングをお勧めしております。
入れ歯のお悩みを動画で解決
YouTubeチャンネル「入れ歯のお悩み解決!稲葉歯科医院」では、実際に入れ歯を使っていただいている患者さまの感想や、入れ歯の構造や仕組みについてもわかりやすく動画で解説しております。
こちらのページで動画をカテゴリ別に掲載しておりますので、お探しの内容をぜひご覧ください。






















