「入れ歯がすぐ外れる…」70代女性 6回の通院でしっかり噛める入れ歯治療

「入れ歯がすぐ外れてしまう」
「話しているだけで入れ歯が取れる」
「接着しても1日ももたない…」
このようなお悩みで、
**「入れ歯 取れない 歯医者」**と検索し、当院ホームページをご覧になり、ご相談にいらした70代女性の患者様の治療例をご紹介します。
【初診時のお悩み】
患者様のお悩みはとても深刻なものでした。

• ご飯を食べると入れ歯が外れる
• 会話中に入れ歯が落ちてしまう
• 接着剤を使っても2~3時間ほどで外れてしまう
• 部分入れ歯は痛くて使えない
「外れることが怖くて、人と話すのも不安でした」とお話しくださいました。
【お口の中の状態】
拝見すると、
• 上顎:総入れ歯

• 下顎:前歯が7本残存(いずれも神経のない弱い歯)

• 下顎には部分入れ歯を使用していたが、痛みのため使用不可
上顎は、

✔ 口蓋(上あごの天井部分)が浅い
✔ 吸着するための接着面積が少ない
という、外れやすい形態でした。
【治療方針|「外れない」ための考え方】
入れ歯が外れる原因は、「吸着面積」だけではありません。
今回は噛み合わせを正しく整えることで、安定した吸着を得られると判断しました。
治療内容
• 上顎:総入れ歯
• 下顎:レジリエンツテレスコープ義歯
遠方にお住まいのため、通院回数は6回で治療完了を目標に進めました。
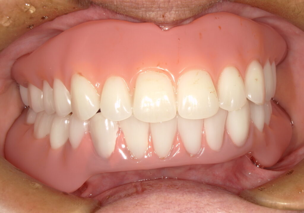
【治療後の変化】
治療後、患者様からはこのようなお声をいただきました。
• 奥歯でしっかり噛めるようになった
• ご飯中に入れ歯が外れなくなった
• 会話中の不安がなくなった
• 見た目がとても自然
特に上顎は、奥歯で噛めるようになったことで、外れにくさが大きく改善しました。
【審美性へのこだわり|自然で美しい口元】
人工歯には、リヒテンシュタインに本社を持つIvoclar Vivadent社製「フォナレス」人工歯を使用。

• ホワイトニング後のような自然な白さ
• 年齢に合った透明感
• 機能性・耐久性にも優れる
患者様にも「とてもきれいで嬉しい」と喜んでいただけました
【下顎義歯の特徴】
今回のレジリエンステレスコープ義歯は、

• 歯をすべて覆わない設計
• 唇側(前から見える部分)を覆わない
• 口元が自然
• 装着感が良い
という特徴があります。


「入れ歯を入れている感じが少ない」と感じていただけました。
【患者様のご感想】
何度も調整に通う必要がなく、6回の通院でぴったり合った入れ歯が完成して本当によかったです。
このお言葉をいただけたことが、私たちにとって何より嬉しい瞬間でした。


【まとめ|入れ歯が外れることでお悩みの方へ】
入れ歯が外れる原因は、
✔ 形
✔ 噛み合わせ
✔ 設計
✔ 材料
さまざまな要因が関係しています。
「もう仕方がない」と諦めず、適切な診断と設計で、外れにくく・噛める入れ歯は実現できます。
同じようなお悩みをお持ちの方は、どうぞお気軽にご相談ください。
関連する記事
入れ歯カウンセリングの
流れ・ご案内
実際に先生と会って話を聞きたい。
自分にはどのような方法が合っているのか、治療方法や 期間、費用について具体的なお話を聞きたいという方には、入れ歯カウンセリングをお勧めしております。
入れ歯のお悩みを動画で解決
YouTubeチャンネル「入れ歯のお悩み解決!稲葉歯科医院」では、実際に入れ歯を使っていただいている患者さまの感想や、入れ歯の構造や仕組みについてもわかりやすく動画で解説しております。
こちらのページで動画をカテゴリ別に掲載しておりますので、お探しの内容をぜひご覧ください。




















