前歯だけ残っている場合の入れ歯治療について

奥歯を失い、前歯だけ残っているケースに度々遭遇します。
患者さまは、治療方法を探しておられますが、どのような治療方法がご自分に合っているのかわからないのではないでしょうか?
いくつかの方法、パターンをまとめましたので、参考にしていただけたら幸いです。
前歯だけ残っている原因について
厚生労働省の歯科疾患実態調査によれば、年齢を重ねていくにつれて歯を失うのは、奥歯からだという報告がされています。
前歯だけ残っている原因について
- 被せ物やブリッジが外れてしまい、そのままになってる。
- 奥歯を失い、保険のクラスプ義歯を入れたけれど、支えている歯から徐々に失ってしまった。
- 歯周病により、奥歯が抜けてしまった。
- 虫歯を放っておいて、奥歯を抜かなければいけなくなった。
将来起こり得るリスクについて
前歯があれば、見た目に気づかれる事がないため、そのままになっている。
なんて事、ありませんか?

奥歯がないと、将来どのようなリスクがあるのでしょうか。
- 下の歯が上の前歯を突き上げる事で、出っ歯になってしまう。
- 徐々に歯が動き始め、グラグラになり、抜けてしまう。
- 奥歯で噛めないことにより、噛める場所がわずかしかない。
- 奥歯がないと噛み合わせの高さを保つ事ができなくなり、口元がたるんでくる。結果、全ての歯を失ってしまうことになりかねません。
治療方法〜下あご〜
患者さまの残っている前歯の状態、上あご、下あごによって治療方法が違って参ります。
下あごパターン1〜RPIクラスプデンチャー〜
残っている前歯6本が健康な場合(神経があり、歯周病もない)歯をほとんど削らずにできるRPIクラスプデンチャーという方法があります。

通常の保険のクラスプ義歯(エイカースクラスプ)とは異なり、歯をIバーという装置で支えるタイプとなっているため、審美的にも金具が目立たず、歯に負担が少ない方法となります。

RPIによって、歯を出来るだけ揺らさずに、縦の方向に力が入るようになっております。
下あごパターン2〜コーヌスクローネ〜
パターン1同様に、歯周病がなく、神経のある強い歯である事が前提で、ドイツ式入れ歯コーヌスクローネという方法があります。

少ない本数に負担をかけるのではなく、残っている全ての前歯を利用して、奥歯の入れ歯を入れる方法となります。

歯に直接かぶせる内冠、その上から取り外しができる外冠によって構成されています。
下あごパターン3〜リーゲルテレスコープ〜
他にも、残っている歯を全て繋げて作る方法もあります。
神経がない歯と神経がある歯が混在している場合などに適応される方法です。

歯と歯を繋げている内冠

その上から取り外しができる外冠により構成させています。
コーヌスクローネ、リーゲルテレスコープ、どちらも患者さまの歯の状態やご希望により選択させていただいております。
下あごパターン4〜レジリエンツテレスコープ 〜
神経がなく、歯周病により多少のグラつきがある場合に適応されます。

残っている歯は弱いため、入れ歯で覆い守ってあげる形になっています。
歯にほとんど負担をかけずに利用できる方法です。

総入れ歯と形は似ておりますが、前歯の部分は入れ歯で覆わないため、装着感も良く、将来歯を失っても修理をする事で、総入れ歯まで移行することも可能です。
治療方法〜上あご〜
今回の記事を書くために、これまで治療をさせていただいたケースを探してみましたが、前歯だけのドイツ式入れ歯コーヌスクローネ、リーゲルテレスコープの症例が見当たりませんでした。
上あごの前歯が健康に残っているケースは稀で、ほとんどの場合、下の歯に突き上げられて、グラグラだったり、被せ物がすでにされているからです。
上あごパーターン1〜レジリエンツテレスコープ
患者さまの元々持っている骨格によって、上あご前歯の骨が盛り上がっている場合、その上から入れ歯を被せると、鼻の下が膨らみ、ゴリラ風の口元になってしまいます。
そのため、前歯の部分は覆わずに製作するレジリエンツテレスコープという治療方法があります。

前歯が残っていて骨が盛り上がっている場合は、その部分だけ入れ歯をくり抜いて、製作することもできます。

※歯に直接被せる内冠

※その上から入れ歯部分の外冠を被せます。

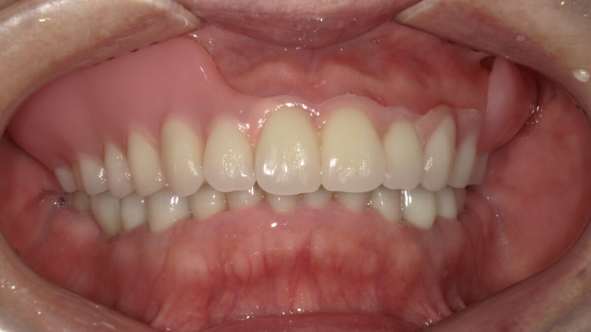
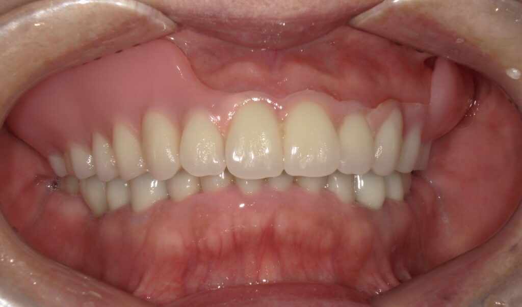
※実際にお口の中に入れ歯状態です。
上あごパターン2〜レジリエンツテレスコープ 〜
前歯の部分の骨の盛り上がりが少ない方は、全てを覆うタイプの方法もあります。

将来歯を失ってしまったとしても、そのまま総入れ歯として使っていただく事ができます。
仮の入れ歯について
部分入れ歯で治療をさせていただくときに、一番大切なことは、残っている歯にできる限り負担をかけないようにすることです。
しかしながら、いくら頑丈でも、審美的要素が伴わないと、口元に自信が持てなくなってしまいます。
患者さまの歯の状態により、先ずは仮の入れ歯を作らせていただき、審美的にも機能的にも問題がないようでしたら、本番へ進む事ができます。
仮の入れ歯は非常に重要で、完成へのシミュレーションにもなりますし、患者さまも自然に慣れていただく事ができる、大切なステップだと感じます。
万が一、前歯が残っていることで審美性を阻害する事が予想される時は、抜歯も視野に入れて、患者さまとご相談をさせていただきます。
最後に
前歯と奥歯は、それぞれ役割が異なり、どちらを失っても、機能できなくなってしまいます。
奥歯は見えないから前歯だけで過ごしていると、結果全体のバランスを崩し、審美的にも前歯が出っ歯になってしまったり、歯がグラグラ揺れ始めてしまったり問題を起こしてしまいます。
しっかり奥歯で噛める事により、前歯も守る事ができます。
様々なパターンの中、患者さまに最適な方法をお勧めしたいと思います。
入れ歯カウンセリングの
流れ・ご案内
実際に先生と会って話を聞きたい。
自分にはどのような方法が合っているのか、治療方法や 期間、費用について具体的なお話を聞きたいという方には、入れ歯カウンセリングをお勧めしております。
入れ歯のお悩みを動画で解決
YouTubeチャンネル「入れ歯のお悩み解決!稲葉歯科医院」では、実際に入れ歯を使っていただいている患者さまの感想や、入れ歯の構造や仕組みについてもわかりやすく動画で解説しております。
こちらのページで動画をカテゴリ別に掲載しておりますので、お探しの内容をぜひご覧ください。






















